- 1月 04 週三 202315:18
酸性快速細菌染色溶液 | Acid-fast Staining Solution Servicebio貨號G1047-100ML

剛果紅(Congo red dye solution)染色溶液 | Congo red dye solution Servicebio貨號G1056-250ML
產品介紹:

碘化碘化鉀染色溶液 | Lodine-Potassium Lodide (I-KI) Dye Solution Servicebio貨號G1070-50ML
產品介紹:

Alcian blue stain(艾爾遜藍染色劑) | Alcian blue dye solution Servicebio貨號G1027-100ML
Alcian blue stain(阿利新藍染液) 是多價鹼性染料家族(polyvalent basic dyes)的任何成員,屬於陽離子染料(cationic dye),最初用於染色紡織纖維(dyeing textile fibers)。由於分子中存在銅(copper),這種染料可溶於水並呈藍色。它是一種酸性粘蛋白(acid mucins)特異性染料,可與酸性基團(acid mucopolysaccharides)結合形成鹽鍵,並用含有陰離子基團(anionic groups)的化合物染色組織,如酸性粘蛋白(acid mucosubstances)和酸性粘蛋白(acidic mucins)。Alcian blue可使細胞質中的酸性粘多醣呈藍色,而中性粘蛋白(neutral mucins)不染色。它常用於石蠟切片技術中,以區分羧基粘液(carboxyl mucus)和硫酸鹽粘液(sulphate mucus),識別粘液性上皮腫瘤(mucinous epithelial tumors),並標記骨組織中的軟骨(cartilage)。一般的方法使用 pH 值為 2.5 的Alcian blue stain(阿利新藍染液) ,它可以染色許多酸性粘蛋白(acidic mucins)和酸性粘液物質(acid mucosubstances)。具有更低 pH 值的Alcian blue stain(阿利新藍染液) 僅染色強酸性硫酸化黏液物質(acidic sulfated mucosubstances) (pH 0.4) 或酸性硫酸化黏液物質 (acidic sulfated mucosubstances )(pH 1.0)。
- 12月 29 週四 202215:03
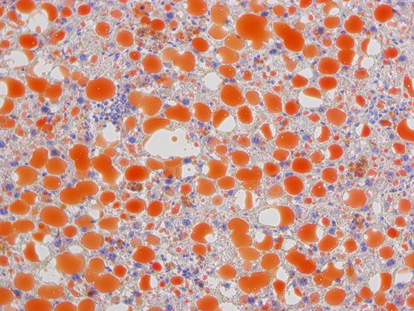
油紅O溶液 | Oil Red O Solution中性脂質染色劑 Servicebio貨號G1015-100ML
- 12月 28 週三 202216:56
蘇木精-伊紅染色試劑 (H&E Staining Kit) | H&E Staining Kit Servicebio貨號G1005-500ML (2X500ML)

蘇木精-伊紅染色試劑 (H&E Staining Kit) | H&E Staining Kit Servicebio貨號G1005-500ML (2X500ML)
蘇木精-伊紅染色,又稱蘇木素-伊紅染色,或「H&E染色」H&E 染色試劑盒 (H&E Staining Kit, Hematoxylin and Eosin) 旨在用於組織學(histology)和細胞學(cytology)應用。H&E Staining Kit (Hematoxylin and Eosin) is intended for use in histology and cytology applications. Included in this kit is a newly formulated Eosin that provides the benefits of a traditional alcoholic formula with significant improvements in usability. Advantages include lower evaporation rate, better color patterns, reduced tendency to spill over container, hands, and countertops, and improved surface tension to remain on tissue section. The Hematoxylin produces crisp, intense blue nuclei providing optimal contrast to the Eosin Y stained cytoplasm. After tissue sections or cells are stained, the nuclei are blue, the cytoplasm are light pink, collagen are pink, muscle are pink to rose, and erythrocytes are pink to red.





